بررسی مقدار تراش دندان برای لمینت به شما کمک میکند تا قبل از انجام کار درمانی خود به خوبی با فرآیندی که قرار است بر روی دندانهای شما اعمال شود آشنا شوید. عدهای از افراد برای درمان ظاهر نامناسب دندانهای خود از لمینت استفاده میکنند. در این روش ممکن است بخشی از مینای دندان تراشیده شود. اطلاع از مقدار حداقل و حداکثر تراش دندان در لمینت برای مراجعه کنندگان عمدتا مهم تلقی میشود. با کمک لمینت شما میتوانید دندانهایی صاف و یکدست داشته باشید. زیبایی دندان برای هر فرد از مهمترین اصول بشمار میآید. اما بهتر است قبل انجام هر درمانی، اطلاعات کاملی از آن بدست آورید. به همین منظور در این مقاله با کلینیک دندانپزشکی زیبایی دکتر مهدی ابوالقاسمی همراه باشید تا اطلاعات کاملی کسب کنید.
قبل از آن که به بررسی مقدار تراش دندان برای لمینت بپردازید بهتر است با ماهیت این اتفاق ابتدا کمی آشنا شوید. در حقیقت لمینت یک روش زیبایی و البته درمانی برای دندان است که با قرار دادن یک روکش همخوان با دیگر دندانها، عیوب آنها را پوشش میدهد. جنس تشکیلدهنده این روکشها از سرامیک و کامپوزیت ونیر است. مقاومت بالایی داشته و در هنگان جویدن غذا آسیب نمیبیند. اماباید قبل از گذاشتن این لمینت ها، درمانهای جانبی انجام شود سپس بعد از تراش مقداری از دندان، پوشش لمینت بر روی دندانها قرار میگیرد.

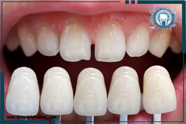
تصویری از لمینت دندان
برای آن که لمینت به درستی بر روی دندان شما قرار گیرد باید به اندازه استاندارد تراشیده شود. هدف اصلی از تراشیدن دندان برای انجام لمینت در واقع ایجاد سطحی هموار و صاف است. با انجام این تراش، برجستگیهای نامتعارف از بین رفته و لمینت به درستی در جای خود قرار میگیرد. شاید برایتان نگران کننده باشد که با این تراشیدن آسیب زیادی به دندان شما وارد شود. باید بگوییم که ابدا اینطور نیست. این تراش تنها بر روی سطح مینای دندان به میزان بسیار کم انجام میشود که با قرار گرفتن لایه لمینت آن فضای خالی جبران شده و از دندان شما محافظت کاملی به عمل میآید.
تراش دندان برای انجام لمینت در همه افراد به یک اندازه نیست. در هر فرد با توجه به پارامترهای مختلف ممکن است متفاوت باشد. اما به طور کلی با توجه به نوع لمینت و برند آن در سیستمهای کام کام، زیرکونیا و ایمکس میزان تراشیدن دندان بین 0.5 تا 0.8 میلیمتر میباشد. این میزان بر روی مینای دندان بسیار جزئی و محدود است. همانطور که گفته شد با لایه لمینتی که روکش دندان میشود فضای خالی کاملا پر خواهد شد. البته نکته جالب توجه اینجاست که اگر دندانهای فرد صاف باشد تقریبا میزان تراش دندان به حداقل حالت ممکن میرسد. اما اگر دارای دندانها کج و بهم ریخته باشد به مراتب مقدار بیشتری از دندان تراش میخورد. در چنین وضعیتی ممکن است دکتر متخصص به جای استفاده از لمینت، روش های ارتودنسی دندان را به بیمار پیشنهاد دهد.
همانطور که در بالاتر گفته شد میزان تراش دندان برای هر فرد در زمان لمینت گذاری ممکن است متفاوت باشد. ازجمله عوامل موثر بر مقدار تراش دندان عبارتنداز:
لمینتها با توجه به نحوه ساخت دارای ضخامت مختلفی هستند. به همین دلیل ممکن است میزان تراش دندان نیز متفاوت باشد.
در صورتی که دندانهای شما پوسیده باشند نیز مقدار تراش دندان برای لمینت متفاوت خواهد بود. به همین دلیل پزشک ابتدا به درمان این پوسیدگیها میپردازد. در نهایت با رفع مشکل، لمینت دندانهایتان را آغاز خواهد کرد.
اگر بیمار ناهماهنگی بسیاری در دندانهای خود داشته باشد احتمالا نیاز بسیار زیادی به تراشیدن مینای دندان پیدا میکند.

انتخاب لمینت متناسب با دندان بیمار
حتما برای شما هم نگران کننده است که تراشیدن مینای دندان قبل از لمینت گذاری دردناک است. در چنین شرایطی باید به شما گفت که دندانپزشک از یک بی حسی استفاده میکند. این تراشیدن کاملا سطحی بوده و هیچ احساس بدی در شما ایجاد نخواهد کرد. اما اگر دندانپزشک در هنگام انجام کار دقت نکند و یا تجربه کافی برای انجام این کار نداشته باشد ممکن است برای مراجعه کننده با درد همراه باشد.
اگردندانهای شما کوچک است و شکافهای ریز بیمیان دندانهای خود دارید، شما مجاز به استفاده از لمینت های لومینیرز هستید. برای استفاده از این مدل لمینتها دندانتان تراش داده نمیشود و اما این پوششها بسیار نازک هستند.
اگر قرار است دندانهای خود را لمینت کنید حتما به یک دندانپزشک معتبر و کارآزموده مراجعه کنید. زیرا اگر بیش از اندازه دندان شما تراش داده شود ممکن است آسیبهای بسیاری برای دندان و لثه شما به وجود بیاید. به همین علت گفته میشود در انتخاب مرکز مورد نظر خود کمال دقت را به خرج دهید تا آسیبی دامن گیرتان نشود. به طور کلی اگر مقدار تراش دندان برای لمینت بیش از اندازه باشد احتمالا بیمار دچار؛ آسیب به لثه، مینای دندان، بروز حساسیتهای مختلف دندانی، احساس درد در هنگام غذا خوردن و نوشیدن مایعات سرد یا داغ خواهید شد.
در این مقاله سعی شد به طور کامل به بررسی مقدار تراش دندان برای لمینت پرداخته شود. اکنون شما با توجه به اطلاعات کاملی که در اختیار دارید میتوانید برای انجام این کار به کلینیک دندانپزشکی زیبایی دکتر مهدی ابوالقاسمی مراجعه نمایید. در این مجموعه میتوانید با استفاده از جدیدترین روشهای روز دنیا از خدمات دیگری نظیر اصلاح طرح لبخند، ترمیم و درمان دندان، ارتودنسی، پروتز، جرمگیری، لیفت لثه، کامپوزیت ونیر، ایمپلنت نیز به خوبی بهره مند شوید.