کلینیک دندانپزشکی ابوالقاسمی

ایمپلنت دندان افراد دیابتی چگونه انجام می‌ شود؟

20 خرداد ، 1403
کلینیک دندانپزشکی دکتر ابوالقاسمی

ایمپلنت دندان بیماران دیابتی چالش‌ها و مشکلاشت خاص خودش را دارد. رضایت‌بخش‌بودن نتایج ایمپلنت دندان و موفقیت در اجرای این تکنیک درمانی، به شرایط جسمی و وضعیت سلامت عمومی هر فرد وابسته است. در بیماران دیابتی بالابودن قندخون و ضعیف‌شدن دستگاه ایمنی شرایط را برای انجام ایمپلنت سخت‌تر می‌کند. از آنجایی که بهداشت دهان و دندان برای این گروه از افراد یک دغدغه بزرگ محسوب می‌شود، ما تصمیم گرفتیم این مطلب را به بررسی شرایط ایمپلنت دندان بیماران دیابتی اختصاص دهیم. شما نیز اگر می‌خواهید بدانید دیابت و ایمپلنت با یکدیگر سر سازگاری دارند یا نه تا انتها همراه ما باشید.

آیا کاشت ایمپلنت دندان برای بیماران دیابتی امکان پذیر است؟

شاید هنگامی که درباره سوال «ایمپلنت دندان برای چه کسانی مناسب نیست» تحقیق و پژوهش کنید، نام بیماران دیابتی را در این لیست ببینید. هرچند این گزاره غلط است و این افراد هم می‌توانند از ایمپلنت استفاده کنند. قبل از اینکه تکلیف دیابت و ایمپلنت را برای بیماران دیابتی معلوم کنیم، بهتر است نگاهی به شرایط جسمانی این گروه از افراد داشته باشیم.

دیابت با بالابودن سطح گلوکز خون در بدن تعریف می‌شود. از طرفی سطح بالای گلوکز خون رابطه مستقیم و تنگاتنگی با بهبود زخم‌ها و مقابله با باکتری‌ها دارد؛ به میزانی که سطح قندخون در بدن افزایش پیدا می‌کند، روند بهبودی زخم‌ها نیز کندتر می‌شود. دلیل این امر هم اختلال عملکرد گلبول‌های سفید و ضعف سیستم ایمنی بدن است که در نتیجه قندخون بالا اتفاق می‌افتد.

با تشریح وضعیت جسمانی بیماران دیابتی رابطه بین دیابت و ایمپلنت بهتر درک می‌شود. طبق توضیحات بالا تا زمانی که سطح گلوکز خون به اندازه نرمال و ایده‌آل خود نرسد، ایمپلنت دندان با خطر بروز التهاب و عفونت همراه خواهد بود. ضمن اینکه در این وضعیت به دلیل کندبودن روند بهبودی زخم‌ها، پروسه ایمپلنت دندان بیماران دیابتی با شکست کامل مواجه می‌شود.

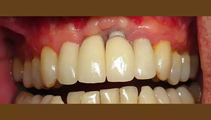
ایمپلنت دندان بیماران دیابتی

عکسی از ایمپلنت دندان

شرایط کاشت ایمپلنت دندان برای بیماران دیابتی

تقریبا همه کسانی که دیابت دارند می‌دانند ایمپلنت دندان چیست و همان‌طور که گفته شد، نرمال‌بودن سطح گلوکز خون یکی از پیش‌شرط‌های لازم برای انجام ایمپلنت بیماران دیابتی است. به همین‌منظور متخصص ایمپلنت جهت انجام این تکنیک درمانی و به‌ حداقل‌رساندن عوارض آن اقدامات زیر را در جهت آماده‌سازی بیشتر این گروه از افراد انجام می‌دهد.

  • ارجاع بیمار به متخصص دیابت جهت انجام معاینات و آزمایشات تخصصی و کنترل سطح قندخون
  • ارجاع بیمار به متخصص تغذیه برای تنظیم رژیم غذایی مناسب
  • ارزیابی کامل وضعیت دندان برای انتخاب بهترین تکنیک کاشت دندان
  • بررسی کامل آزمایش خون جهت اطمینان از نبودن عفونت و کنترل بلندمدت قندخون

مراقبت‌های پیش از کاشت ایمپلنت برای بیماران دیابتی

دیابت از دسته بیماری‌هایی است که روند انجام کاشت دندان را به طرز چشمگیری تحت‌تاثیر قرار می‌دهد. مسلما رسیدن به نتایج مطلوب, حفظ طول عمر ایمپلنت دندان و رهایی از عوارض خطرناک این تکنیک درمانی مستلزم رعایت نکات و اصول مراقبتی قبل از جراحی است که ما در ادامه اشاره‌ای کوتاه به مهم‌ترین آن‌ها خواهیم داشت:

  • کنترل دیابت و سطح قندخون چند هفته قبل از انجام ایمپلنت
  • مراجعه به متخصص تغذیه و رعایت کامل دستورالعمل‌های غذایی جهت کنترل بهتر دیابت
  • چکاپ کامل دهان و دندان و اطمینان‌یافتن از نبود هرگونه التهاب و یا عفونت لثه
  • مطلع‌کردن دندانپزشک از داروهای مصرفی و شیوه مصرف هر کدام
  • پرهیز از مصرف داروهای کنترل‌کننده دیابت تا 48 ساعت قبل از ایمپلنت
  • مشورت با دندانپزشک درباره میزان مصرف دز انسولین در روز جراحی
  • انجام آزمایش کامل خون و هموگلوبین ای وان سی جهت کنترل بهتر دیابت

انواع روش‌های کاشت ایمپلنت برای افراد دیابتی

درباره انواع ایمپلنت دندان قبلا مفصل صحبت کرده‌ایم. اما برای بیماران دیابتی مسئله دیگری حائز اهمیت است. برای انجام ایمپلنت دندان بیماران دیابتی روش‌های گوناگونی وجود دارد. انتخاب مناسب‌ترین روش کاشت دندان برای بیماران دیابتی به وضعیت سلامت جسمانی و بهداشت دهان و دندان هر فرد بستگی دارد. در ادامه معرفی کوتاهی از رایج‌ترین روش‌های کاشت ایمپلنت برای بیماران دیابتی خواهیم داشت.

ایمپلنت دندان All on 4

یکی از آسان‌ترین و بی‌دردسرترین روش‌های ایمپلنت در دیابت ایمپلنت دندان آل آن فور است. در این تکنیک تمام دندان‌های ازدست‌رفته فرد روی 4 عدد پایه ایمپلنت در فک بالا و فک دندان جایگذاری می‌شود. از آنجایی که در اجرای این تکنیک نیاز به انجام پیوند استخوان وجود ندارد، کاشت ایمپلنت با کمترین آسیب و عارضه همراه خواهد بود.

 مینی ایمپلنت

در صورتی که بیمار تنها یکی از دندان‌های خود را از دست داده باشد، مینی ایمپلنت می‌تواند گزینه‌ای مناسب برای جایگزینی دندان به حساب آید. تفاوت بارز این روش با سایر تکنیک‌های کاشت دندان موقتی‌بودن آن است. از آنجایی که دائمی‌نبودن مینی ایمپلنت و تعویض و ترمیم مکرر آن می‌تواند زمینه‌ساز بروز عفونت لثه شود، این روش را به بیماران دیابتی توصیه نمی‌کنیم.

کاشت ایمپلنت استاندارد

یکی دیگر از روش‌های مفید و کم‌خطر ایمپلنت دندان بیماران دیابتی، کاشت ایمپلنت استاندارد است. در این تکنیک از بریج‌ها برای جایگزین‌کردن یک یا چند دندان پوسیده یا آسیب‌دیده استفاده می‌شود.

ایمپلنت دندان یک روزه

در میان انواع روش‌های کاشت دندان ایمپلنت فوری دندان یا یک روزه تکنیکی سریع و کوتاه‌مدت محسوب می‌شود. در این روش کل فرآیند کشیدن و کاشت دندان تنها در یک روز یا طی یک جلسه صورت می‌پذیرد. از آنجایی که وضعیت جسمانی بیماران دیابتی استقامت و توانایی کافی را برای بهبودی زودهنگام ندارد، این روش نمی‌تواند گزینه مناسبی برای کاشت دندان این گروه از افراد باشد.

انواع روش‌های کاشت ایمپلنت برای افراد دیابتی

عکسی از کاشت ایمپلنت دندان

ایمپلنت دندان برای افراد دیابتی چه مزایایی دارد؟

بی‌تردید جای خالی دندان، عوارض و پیامدهای ناخوشایندی برای افراد دیابتی به همراه دارد که نداشتن تکلم درست یا عدم جویدن کامل غذا بدترین آن‌هاست. طبیعتا انجام ایمپلنت ضمن برطرف‌کردن این مشکلات مزایا و فواید بی‌شماری را برای بیماران دیابتی رقم می‌زند که مهم‌ترین آن‌ها عبارتند از:

  • بروز التهاب و عفونت دندان ایمپلنت در مقایسه با دندان مصنوعی برای افراد دیابتی بسیار کمتر است.
  • بیماران با انجام ایمپلنت قدرت بیشتری برای جویدن غذا پیدا می‌کنند.
  • دندان‌های ایمپلنت برای بیماران دیابتی عملکردی مشابه دندان‌های طبیعی دارد.
  • به دلیل استحکام و پایداری دندان و حفظ حالت استخوان فک در ایمپلنت، چهره زیبایی خودش را به واسطه جای خالی دندان از دست نمی‌دهد.

چه مشکلاتی برای ایمپلنت بیماران دیابتی به وجود می آید؟

دیابت و ایمپلنت دو وضعیت ناسازگار با یکدیگر هستند که در صورت رعایت نکردن مراقبت‌ های بعد از ایمپلنت دندان ترکیب آن‌ها باهم می‌تواند مشکلات متعددی را برای افراد به همراه داشته باشد. از مهم‌ترین عوارض و پیامدهای ایمپلنت برای افراد دیابتی می‌توان به موارد زیر اشاره کرد:

  • روند بهبودی زخم‌ها در بیماران دیابتی غالبا طولانی‌تر است. طولانی‌بودن این فرآیند می‌تواند زمینه‌ساز بروز التهاب و عفونت دندانی در افراد شود.
  • کاشت ایمپلنت و مصرف داروهای تسکین‌دهنده درد بعد از جراحی احتمال بالارفتن قندخون و کنترل‌نشدن این بیماری را در افراد افزایش می‌دهد.

دلیل شکستن ایمپلنت دندان بیماران دیابتی

تاثیرات نامطلوب دیابت روی ایمپلنت دندان گاهی این تکنیک درمانی را با شکست مواجه می‌کند. فاکتورهای متعددی می‌تواند ریسک شکست ایمپلنت دندان را برای این گروه از افراد بیشتر کند که جدی‌ترین آن‌ها را در این قسمت معرفی خواهیم کرد.

عفونت لثه

اولین عاملی که منجر به شکست ایمپلنت دندان بیماران دیابتی می‌شود، عفونت لثه است. بعد از انجام ایمپلنت احتمال اینکه بیماری پریودنتال یا عفونت لثه در بیماران دیابتی نمایان شود، بسیار زیاد است. با التهاب و عفونت لثه استخوان فک کاملا تحلیل می‌رود و پایه ایمپلنت در دندان لق می‌شود.

عوارض میکروواسکولار

عوارض میکروواسکولار اشاره به وضعیتی دارد که در آن دیواره مویرگ‌ها ضخیم می‌شوند، فرآیند گردش خون در بدن کاهش پیدا می‌کند و نشت خون از رگ‌های داخلی اتفاق می‌افتد. گاهی از اوقات شکست ایمپلنت دندان در افراد دیابتی را می‌توان با شدت‌یافتن عوارض میکروواسکولار توجیه کرد.

عفونت دندان

همان‌طور که بارها در این مطلب اشاره کردیم، بالابودن سطح گلوکز خون سبب کندشدن روند بهبودی زخم‌ها می‌شود. در مواردی که ایمپلنت دندان بدون کنترل کامل سطح قندخون بدن انجام پذیرد، احتمال افزایش عفونت و به دنبال شکست ایمپلنت قطعی خواهد بود.

دلیل شکستن ایمپلنت دندان بیماران دیابتی

عکسی از عفونت ایمپلنت دندان

ایمپلنت دندان برای افرادی که دیابت کنترل ‌نشده دارند

بیماری قندخون تمام مراحل ایمپلنت دندان نظیر ترمیم زخم، جوش‌خوردن استخوان به پایه ایمپلنت و بهبودی کامل بعد از جراحی را تحت‌الشعاع خود قرار می‌دهد. ناگفته پیداست که عدم کنترل سطح گلوکز خون می‌تواند ضمن کاهش موفقیت اجرایی هر مرحله پیامدهای بسیار خطرناکی برای سلامت بیمار به همراه داشته باشد. بنابراین اگر کنجکاو هستید بدانید که آیا ایمپلنت برای دیابت کنترل‌نشده مفید است یا نه باید با قطعیت کامل پاسخ دهیم خیر. اجرای موفقیت‌آمیز ایمپلنت دندان برای افراد دیابتی پیش‌شرط‌های مهمی دارد که مهم‌ترین آن‌ها کنترل‌کردن سطح گلوکز خون و رساندن آن به اندازه نرمال و ایده‌آل است.

کاشت ایمپلنت دندان افراد دیابتی در کلینیک دکتر ابوالقاسمی

یکی از معضلات بزرگ افراد دیابتی از دست‌دادن دندان و جایگزینی آن با تکنیک‌های مختلف کاشت دندان است. شرایط جسمانی این گروه از افراد با تاثیرگذاری روی روند اجرای ایمپلنت دندان، انجام این تکنیک درمانی را برای بیماران دیابتی با دشواری همراه می‌کند. البته این به معنای عملی‌نبودن انجام ایمپلنت دندان برای افراد مبتلا به دیابت نیست. در صورتی که نظارت کامل تیم پزشکی در میان باشد و فرد موفق به کنترل سطح قندخون خود شده باشد، اجرای ایمپلنت دندان بیماران دیابتی کاملا موفقیت‌آمیز خواهد بود. شما می‌توانید انواع خدمات ایمپلنت یا اصلاح طرح لبخند را حتی اگر درگیر دیابت هستید، در کلینیک دکتر ابوالقاسمی با بهترین کیفیت دریافت کنید.

سوالات متداول

1. آیا افراد دیابتی می‌توانند از ایمپلنت دندان استفاده کنند؟

بله، افراد دیابتی می‌توانند ایمپلنت دندان بگذارند، اما باید دیابت خود را تحت کنترل داشته باشند. کنترل قند خون و رعایت بهداشت دهان و دندان بسیار مهم است تا از عفونت و مشکلات احتمالی جلوگیری شود.

2. چه تفاوتی در روند بهبود ایمپلنت دندان بین افراد دیابتی و غیر دیابتی وجود دارد؟

در افراد دیابتی، روند بهبود ممکن است کندتر باشد و خطر عفونت بیشتری وجود دارد. بنابراین، مراقبت‌های ویژه‌ای از جمله نظارت مداوم بر سطح قند خون و پیگیری دقیق توصیه‌های پزشک برای بهبود موفقیت‌آمیز ایمپلنت ضروری است.

اشتراک گذاری در شبکه های اجتماعی
6LeMMSUhAAAAAE-rJXylA6AfNIKeXGXBlaEHGr66