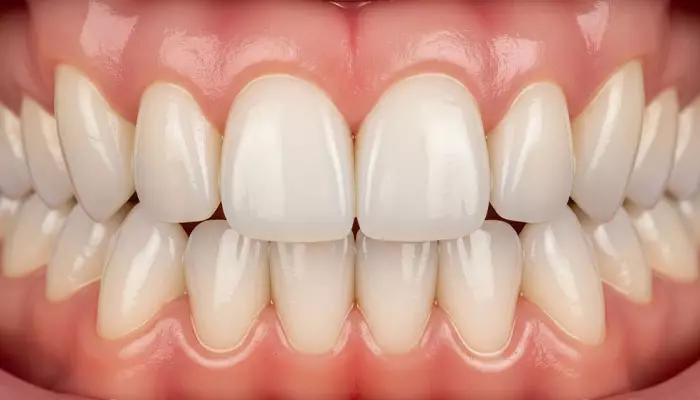
داشتن دندانهای منظم یکی از نعمتهای بزرگ است که تأثیر زیادی بر زیبایی لبخند و سلامت دهان و دندان دارد. افرادی که دندانهای مرتبی دارند، اغلب لبخند زیباتری دارند و کمتر دچار بیماریها و ناهنجاریهای دهانی میشوند.

هم ردیف بودن: دندانهای منظم هیچگونه شلوغی، کجی یا بینظمی ندارند.
خط وسط (میدلاین) مرتب: خط وسط دندانهای بالا و پایین با یکدیگر و با خط وسط صورت هماهنگ است.
فاصله مناسب: فاصله بین دندانها به اندازهای است که تنها نخ دندان به راحتی از آن عبور کند و هیچگونه فاصله اضافی (دیاستما) وجود نداشته باشد.
سلامت کامل: دندانهای منظم عاری از هرگونه پوسیدگی دندان، شکستگی یا لبپریدگی هستند.
اگر دندانی دچار پوسیدگی یا آسیب شود، باید برای ترمیم آن به دندانپزشک مراجعه کرد. در این موارد، ممکن است نیاز به روشهای درمانی مانند لمینیت دندان یا بیلیچینگ دندان برای بهبود ظاهر و رنگ دندان وجود داشته باشد.

یکی از بزرگترین مزایای داشتن دندانهای منظم، سهولت در رعایت بهداشت دهان و دندان است. هنگامی که دندانها در جایگاه صحیح خود قرار دارند، تمیز کردن آنها با مسواک و نخ دندان بسیار آسانتر میشود و پلاک کمتری بین دندانها باقی میماند. این کار به حفظ سلامت لثهها نیز کمک میکند.
برداشتن پلاک دندانها اهمیت زیادی دارد، زیرا با گذشت زمان، پلاک سفت شده و به جرم تبدیل میشود. این جرم به لثهها آسیب رسانده و در نهایت منجر به بیماریهای لثه میشود که میتواند زیبایی و سلامت دندانها را به خطر بیندازد.
نتیجهگیری
برای داشتن دندانهای سالم و منظم، رعایت بهداشت روزانه و مراجعه منظم به دندانپزشک ضروری است. در معاینات دندانپزشکی، علاوه بر بررسی پوسیدگی، سلامت لثهها نیز ارزیابی میشود. این مراجعات منظم به پیشگیری از مشکلات دندانی و حفظ لبخندی زیبا و سالم کمک میکند. اگر میخواهید از سلامت دندانهای خود مطمئن شوید، حتماً چکآپهای دورهای را در برنامه خود قرار دهید.
آیا میدانستید که دندانهای منظم و مرتب تأثیر چشمگیری بر زیبایی چهره و اعتماد به نفس شما دارند؟ برای داشتن لبخندی زیبا و دندانهایی بینقص، همین حالا با کلینیک دندانپزشکی دکتر ابوالقاسمی تماس بگیرید. کارشناسان ما آمادهاند تا شما را با بهترین راهکارهای درمانی و زیبایی راهنمایی کنند و لبخندی رویایی را به واقعیت تبدیل کنند.